個人的には細胞性免疫不全者の肺空洞影・腫瘤影の診断プロセスがわかりやすく、非常に教育的な症例と感じました
【症例】
75歳男性の進行性呼吸困難、咳嗽、低酸素
Asthma and COPDの既往があり、7ヶ月前まで問題なし
7ヶ月前にwheezes +咳嗽でステロイド開始、途中でABPAとしてボリコナゾールも投与
5週間前に中米の都市部を訪問中に呼吸困難と湿性咳嗽が出現、症状持続しており受診

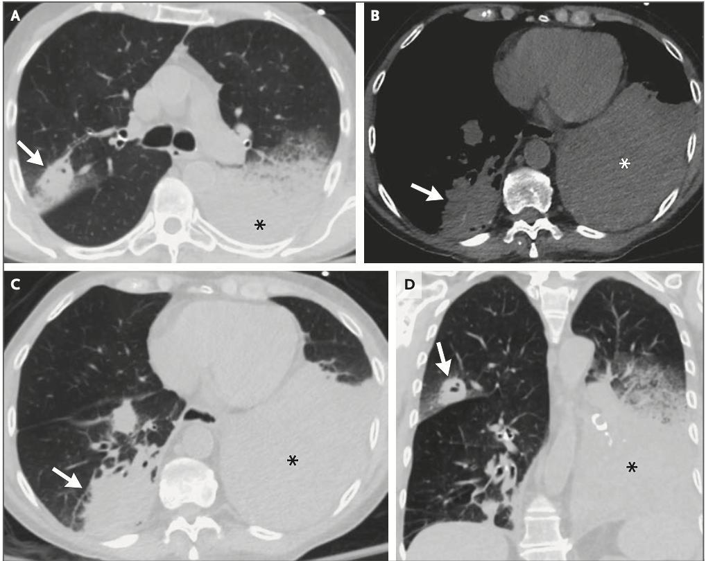
右上葉に空洞影と左下葉に巨大な腫瘤影を認めた
・ステロイドユーザーの肺腫瘤影+空洞影
Cavity and mass lesionの鑑別→炎症性疾患、癌、感染症を念頭に鑑別をあげていく
ステロイド使用中→膠原病や自己免疫疾患というよりは感染の可能性が上がる
リンパ節腫脹がなく、経過が亜急性→癌としては非典型的

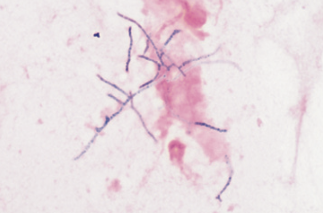
Gram染色で分子状のGPRを認め、Nocaridiaを強く疑った
→痰Gram染色・培養、抗酸菌染色等で診断がつかなければ気管支鏡が必要な症例でしょうか

分枝状GPRはNocardiaとActynomycesが鑑別
Nocardia→好気性、弱抗酸性をもち修正Kinyon染色で赤く染まることがActinomycesとの違いであるが、ルーチンで行なっている施設は少ないと思われる
Actynomyces→嫌気性、癌のように周囲に浸潤し”Pseudo-tumor”と言われる
Nocardiaについては、Nocaridiaが培養から検出されたらどうするか、ノカルジア肺炎のコンサルトもご参照ください
【Take Home Message】
・Cavity and mass lesionの鑑別は、炎症性疾患、癌、感染症を念頭に考える
・臨床経過(急性-亜急性-慢性)、免疫状態、渡航歴・曝露歴、画像所見(リンパ節腫脹など)、他臓器障害などから鑑別疾患を絞っていく
・肺病変をきたしうるGPRにはNocardia、Actynomyces、Rhodococcusを鑑別にあげる
・Actynomycesは周辺臓器に浸潤し”Pseudo-tumor”と言われる、RhodococcusはHIV関連の肺病変で草食動物(ウマなど)と関連がある
・英語勉強
個人的に英語勉強中であり、今回の重要と思われる文章を追記しておきます
① 彼は7ヶ月前まで健康であった
He had been in his usual state of health until 7 months before the current presentation.
② 彼は呼吸器内科を受診した
He was evaluated by his pulmonologist.
③ デュピルマブ月2回投与が開始された
Treatment with dupilumab twice monthly was started.
④ 彼は失神を起こし転倒し、左側腹部を受傷した.
He had an episode of syncope with a fall, and his left flank was injured.
⑤ 彼はこの病院の救急部に搬送された
He was brought to the emergency department of this hospital.
⑥ グルココルチコイドによる治療中に進行性の炎症性疾患が発症することは稀だろう
It would be unusual for a progressive inflammatory disorder to develop during treatment with glucocorticoids.
⑦ この患者で中枢神経播種の証拠がないものの、臨床的にはノカルジアが最も考えやすい
Although evidence of CNS dissemination is absent in this patient, the clinical features are most suggestive of nocardiosis.
⑧ ノカルジア症の診断を確定するために、まずはGPRの形態学的特徴を確認し、痰のmodified acid-fast stainを行うだろう。これにより喀痰培養の結果を待つ間に、ノカルジアとアクチノマイセスを区別することができる
To establich the diagnosis of nocardiosis, I would review the morphologic features of the gram-positive rods and also perform modified acid-fast staining of sputum, which would distinguish nocardia from actinomyces, while awaiting the results of the sputum culture.
【参考文献】
N Engl J Med 2025;393:390-9.


コメント