播種性バルトネラ症 NEJM Case

未分類

NEJMでバルトネラのケースがあり、自験例がないためまとめてみました。

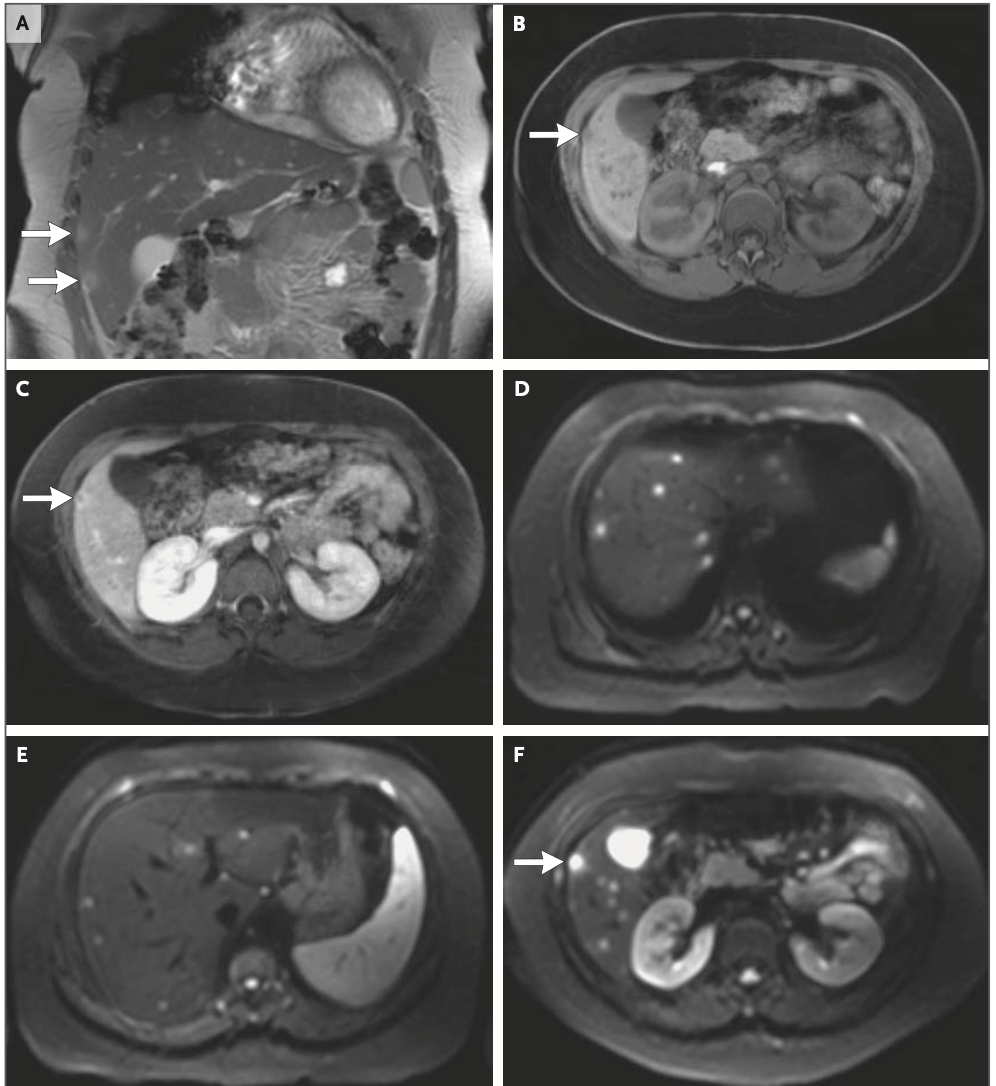
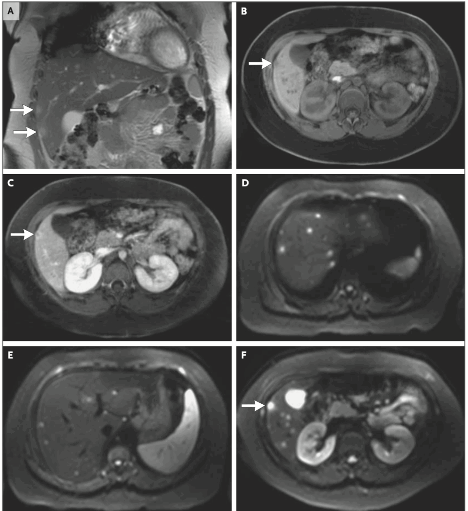
11歳女児の7日程度の経過で認めた胸痛、多発骨病変(胸骨、右上腕骨頭)、多発肝病変の症例です。既往はアトピー性皮膚炎、MRSA皮膚感染症があり、子猫を飼い始めたという生活歴があったようです。血液検査は炎症反応以外はパッとしないという感じです。下に論文内の画像所見を貼っています。

・多発骨病変+肝病変の鑑別
本文でどのように鑑別が考察されているかをまとめます。

Cancer:

Ewing sarcoma、osteosarcoma→小児骨腫瘍で多い、骨幹部に多いが本症例では骨端部に病変が認められる、転移は肝臓よりは肺に多いが本症例では認められず、典型的ではない

白血病→ALLは小児で最も多いが、organomegalyや皮下出血などの典型的な所見がなく、血算の結果からも疑わしくありません

Langerhans’-cell histiocytosis→骨・皮膚・肝臓などの多発腫瘍を呈する点は合致しますが、1-3歳に後発する点が合いません。

Inflammatory disorders:
Chronic nonbacterial oseteomyelitis→小児の多発骨病変で鑑別になる炎症性疾患であるが、肝病変は合わない
Sarcoidosis→90%で見られる肺門部リンパ節腫脹がなく、年齢が合わない
慢性肉芽腫症 CDG→常染色体劣性型も存在し、軽症例は診断が遅れる可能性がある。最も一般的な肺炎の既往がなく、成長も正常、リンパ節腫大や臓器腫大も認められない

Infection:
細菌性骨髄炎→全身状態が良好すぎる
肺外結核→頸部リンパ節病変が最も多い、体重減少/寝汗/発熱などの症状があるはず
NTM→頸部-顔面領域の病変を生じやすい、免疫不全者で認め重篤な病態を呈する
Endemic mycoses→Histoplasma、Blastmycesなどが鑑別になり、流行地への渡航歴が重要
HIVやトキソプラズマ→検査が陰性であった
Bartonella henselae→子猫のとの接触+肝臓・骨などの多発病変から疑われる


・播種性バルトネラ症について
Bartonella henselaeは猫ひっかき病として有名な菌である。1歳未満の子猫から感染することが知られており、子猫によるひっかき傷や咬傷、ノミなどが原因となる。感染後1-3週間で接種部位に一致した局所リンパ節腫脹が出現するが、通常自然軽快する疾患である。HIV患者などの免疫不全者では全身疾患に進展し播種性バルトネラ症と言われる。

全身疾患となった場合、バルトネラは肝臓、骨、眼、中枢疾患などに播種性病変を形成し、不明熱の原因疾患とされる。下肢の骨や脊椎病変が多いが、あらゆる腸管骨や胸骨も病変を形成しうる。肝臓や脾臓に多発微小膿瘍を形成することがあり、本症例と合致する。

診断は通常血清抗体をチェックすることで行われる。接種部位の病変組織やリンパ節などの組織のPCRにより診断することもできる。

治療は通常は自然軽快、リンパ節炎に対してアジスロマイシン5日投与が行われるが、播種性バルトネラの最適な治療は不明である。リファンピシンは症例報告によると87%で有効性があったとされており、中枢神経系ではドキシサイクリン併用も有効とされている。本症例では眼病変がないことを確認し、ドキシサイクリン+リファンピシン28日間で治療した。

【参考文献】
N Engl J Med 2025;393:1118-27.

コメント

タイトルとURLをコピーしました