【Clinical Question】
画像で大動脈炎の所見があり膠原病科に紹介となった方が、梅毒血清反応が陽性となりコンサルトとなりました。梅毒性大動脈炎はどんな特徴があるのか、見たことがないので特徴をまとめてみました。
【Answer】
こういう時はまずMandellを読んでみます(せっかく10thがあるので)。
心血管梅毒は初感染から20-30年後に生じ、未治療のおよそ10%で発症します(Tertialy syphilis)。抗菌薬がない時代では無症候性大動脈炎の最も一般的な原因であり、「長期間罹患した梅毒患者の多くは、無症候性の潜在性大動脈炎を有する」と言われていたようです。現在では著減していますが、依然として梅毒による大動脈病変は生じうるため注意が必要です。
特徴は
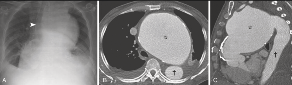
① 近位大動脈の拡張、上行大動脈の前外側壁の線状石灰化(古典的なXp所見)
② 大動脈弁輪の脆弱化によるAR
③ 冠動脈入口部の狭窄(動脈硬化リスクの乏しい若年者の冠動脈入口部病変は梅毒を考える)

病態生理としては、大動脈壁の栄養血管の血管炎→大動脈基部の脆弱化という感じらしい。瘢痕化を起こすため解離に至ることは稀らしい。
動脈瘤は50%は上行大動脈弓に生じ、巨大化しても症状に乏しいため”aneurysm of sings”と呼ばれる。ついで30-40%は横行弓に生じ、縦隔内の構造物に隣接するため”aneurysm of symptoms”と呼ばれる。
治療はステルイズ3回であるが、破裂しないかが問題であり、サイズが大きければ人工血管置換などが必要となる。疑わしい症例では病理で免疫染色をしてもらう。
・大動脈炎の鑑別という観点
結局のところ梅毒による大動脈炎かどうかは除外診断だろうと思います。
鑑別としては、①感染性大動脈炎でないか、②自己免疫疾患(側頭動脈炎、高安動脈炎、IgG4、SLE、RA、サルコイドーシス、ベーチェット、ANCA関連、RP)などをあげます。
①感染性動脈瘤ではないか
必ず抗菌薬投与前に血液培養を提出しないといけません。その上でエントリーがあるか、いつから感染しているかという観点で病歴をとります。
画像的な違いとして、通常感染性動脈瘤は局在性であり、広範囲の大動脈の所見は非典型的です。
②自己免疫疾患
大動脈を侵す原発性大血管炎としては、50歳以上では側頭動脈炎、50歳未満は高安動脈炎が2大鑑別疾患です。
側頭動脈炎では頭痛、頭皮痛、視力障害、顎跛行に加え、PMRを伴うことがあります。高安動脈炎は典型的には40歳未満の女性に好発し、古典的に上行大動脈と大動脈弓分枝が障害される。上肢跛行、失神などの症状で受診する。大動脈基部の動脈瘤とARが古典的合併症であり、梅毒と鑑別を要する。
IgG4関連疾患は涙腺や唾液腺、膵臓、後腹膜などのびまん性臓器腫大を伴い、60代の男性に多い。その他、SLE、RA、サルコイドーシス、ベーチェット、GPA、RPなどは、それぞれの疾患特異的な随伴所見を認めるため、それを手掛かりに診断する。
以上を踏まえて、高安動脈炎疑いの患者で梅毒血清反応が陽性であった場合どうするかという話ですが、梅毒は診断は難しいが治療は簡単、診断的治療でステルイズ3回打ってみるしかないかなと思います。
【参考文献】
Mandell 10th
N Engl J Med 2023;388:2275-86.

コメント